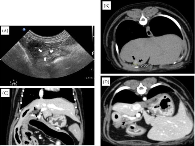
Gallbladder Atrophy in Dogs Linked to Pancreatitis: A Case Study with Imaging Insights
In a recent case study, researchers have shed light on an uncommon but significant condition in veterinary medicine - gallbladder atrophy (GBA) in dogs, particularly associated with pancreatitis. This condition, characterized by a reduction in gallbladder size and volume, is known in human medicine to often occur alongside gallbladder and pancreas pathologies. However, its documentation in canine patients is relatively sparse.
Best Friends at the Vet Clinic: Navigating the Ups and Downs
Working with your best friend in a veterinary clinic can be both rewarding and challenging. It requires a delicate balance of maintaining the integrity of your friendship while upholding professionalism in the workplace. With clear boundaries, open communication, and mutual respect, this unique working relationship can not only survive but thrive, bringing added joy and satisfaction to your professional life.
Revolutionizing Cancer Treatment: Canine Study Unlocks Secrets of Aggressive T-Cell Lymphoma!
A groundbreaking study has shed new light on the gene expression profile and cellular origins of canine peripheral T-cell lymphoma (PTCL), offering promising insights for both veterinary and human medicine. PTCL, a diverse group of T-cell cancers notorious for poor treatment responses, finds a parallel in the most common human subtype, PTCL-not otherwise specified (PTCL-NOS). This similarity has spurred interest in canine PTCL as a potential model for human PTCL research.
The Silent Epidemic: Startling Discovery of Infectious Agents in Canine Blood Donors!
A comprehensive study conducted in Portugal and Spain has unveiled startling findings about the prevalence of blood-borne infectious agents in healthy, client-owned dogs that serve as blood donors. The research, involving over 8,000 canine donors and more than 35,000 blood samples, aimed to evaluate the effectiveness of screening protocols for each donation.
Cornell Veterinary Medicine: Reducing the risks of zoonotic disease transmission through responsible cat ownership
Cats have a special place in many people’s hearts. An estimated 60 million felines are kept as pets in the United States alone. Cats also occupy a distinct position in the ecological networks of companion animals, humans and peri-domestic species – wild and feral animals living near human habitations – according to a review article by a team of researchers at the Cornell University College of Veterinary Medicine.
Meet the Young Genius Shaping the Future of Veterinary Medicine: Lotta Truyen's Groundbreaking Research That Could Change Everything!
German veterinary student Lotta Truyen has been named the recipient of the prestigious WSAVA 2023 Michael J Day Scholarship, a notable accolade in the world of veterinary science. Ms. Truyen, currently studying at the University of Veterinary Medicine in Hannover, Germany, is set to receive a generous grant of US$15,000. This grant is earmarked to support her innovative research aimed at understanding the transmission of canine distemper virus (CDV)-specific maternal antibodies from mothers to puppies, a study that promises to shape future vaccine strategies for this serious disease.

